Больно ли ставить брекеты?
Установка брекетов в Уфе
от 30 000 ₽ за 1 челюсть
👉 Системы Biomim/H4 (США).
Подберём брекеты под ваш случай и рассчитаем стоимость
Подберём брекеты под ваш случай и рассчитаем стоимость
✔ В стоимость входит брекет-система и установка
✔ Срок лечения - от 1 года (зависит от прикуса)
✔ Консультация ортодонта- 1500 ₽. (с планом лечения)
✔ Контрольные визиты - включены в план лечения
✔ Без скрытых доплат в процессе лечения
✔ Срок лечения - от 1 года (зависит от прикуса)
✔ Консультация ортодонта
✔ Контрольные визиты - включены в план лечения
✔ Без скрытых доплат в процессе лечения
Приём ортодонта по брекетам — ул. Коммунистическая, 16
* Перезвоним, ответим на вопросы и подберём удобное время приёма
Цены на установку брекетов в Уфе
В нашей клинике используются 2 основных видов брекет-систем - отличаются конструкцией, комфортом ношения и сроками лечения.
Листайте вправо 👉
| Лигатурные брекеты, Biomim (CША) | Самолигирующие брекеты, H4 (США) |
|---|---|
| Классическая брекет-система. Подойдёт, если хотите более доступный вариант лечения | Современная система с меньшим трением дуги. Подойдёт, если важен комфорт и меньше визитов к ортодонту |
| от 30 000 ₽. | от 60 000 ₽. |
| Что входит в стоимость: | Что входит в стоимость: |
| Брекет-система Biomim (США) | Брекет-система H4 (США) |
| Работа ортодонта по установке | Работа ортодонта по установке |
| План-лечения | План-лечения |
| Консультация - 1500 ₽. | Консультация - 1500 ₽. |
| КТ-снимок - 2000 ₽. | КТ-снимок - 2000 ₽. |
| Контрольные визиты ортодонта - 5900 ₽. за прием | Контрольные визиты ортодонта - 5900 ₽. за прием |
* Окончательная стоимость фиксируется после диагностики и не увеличивается в процессе лечения
Пройти диагностику и получить план лечения
На консультации врач проведёт диагностику и составит план лечения.
Стоимость - 1500 ₽.
Стоимость - 1500 ₽.
ШАМСУТДИНОВА АЛИЯ ИЛЬГИЗОВНА
стоматолог-ортодонт, стаж 5 лет
Вам стоит обратиться к ортодонту, если у вас есть:
Даже незначительные проблемы с прикусом со временем могут усиливаться и влиять на здоровье зубов и внешний вид улыбки
неровные или скученные зубы
неправильный прикус
большие промежутки между зубами
смещение зубов после удаления
щелчки или напряжение в челюсти
повышенная стираемость зубов
Чем раньше начать лечение - тем проще и быстрее исправить прикус
Как проходит лечение прикуса - шаг за шагом
Вы заранее знаете сроки, стоимость и каждый этап лечения
1. Консультация и диагностика
Осматриваем, делаем снимки и подробно объясняем, что происходит с прикусом
2. План лечения
Подбираем систему и сразу называем сроки и полную стоимость лечения
3. Установка системы
Устанавливаем брекеты аккуратно и без боли - обычно около 1 часа
4. Лечение и контроль
Регулярно контролируем процесс и корректируем систему (примерно 1 раз в 4-6 недель)
5. Закрепление результата
Фиксируем результат, чтобы зубы не вернулись в прежнее положение
Вы быстро привыкаете к системе и продолжаете жить обычной жизнью
Запишитесь на консультацию ортодонта
Стоимость консультации - 1500 руб. Врач проведёт диагностику и составит план лечения.
ШАМСУТДИНОВА АЛИЯ ИЛЬГИЗОВНА
стоматолог-ортодонт, стаж 5 лет
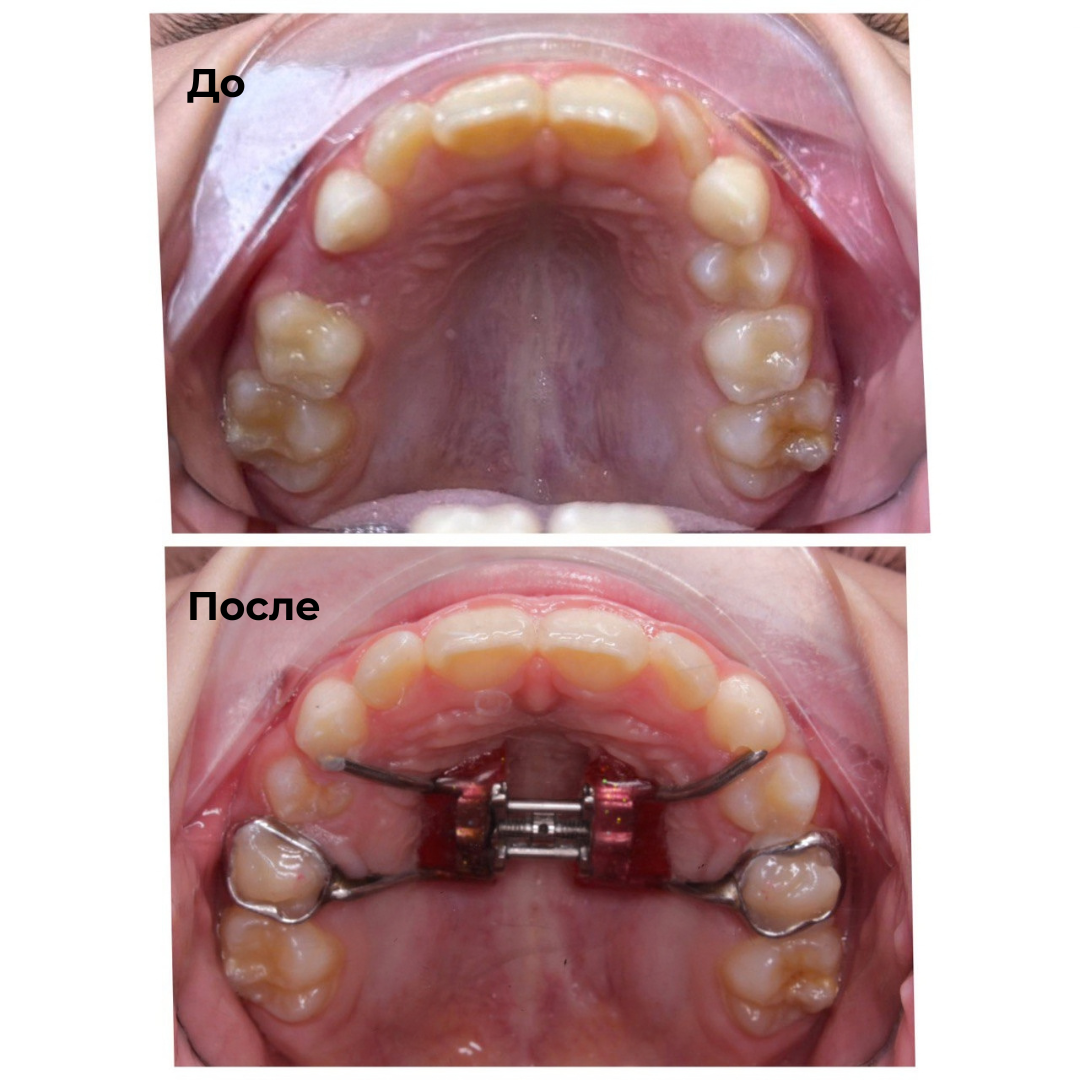
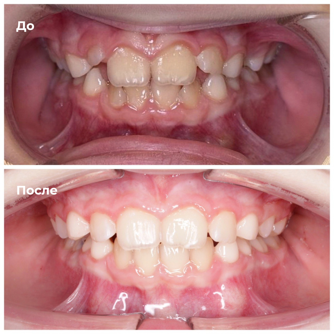
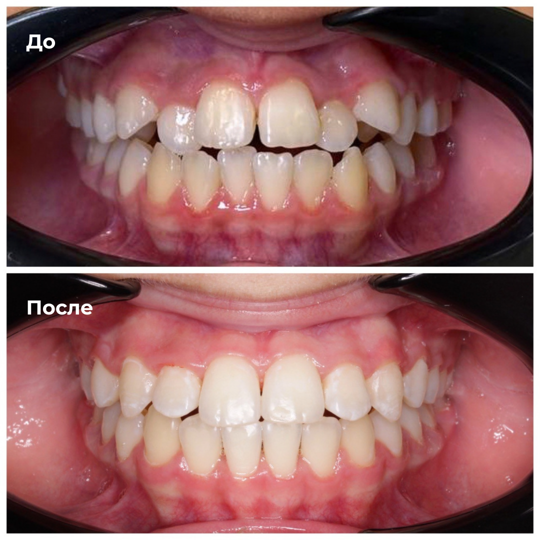
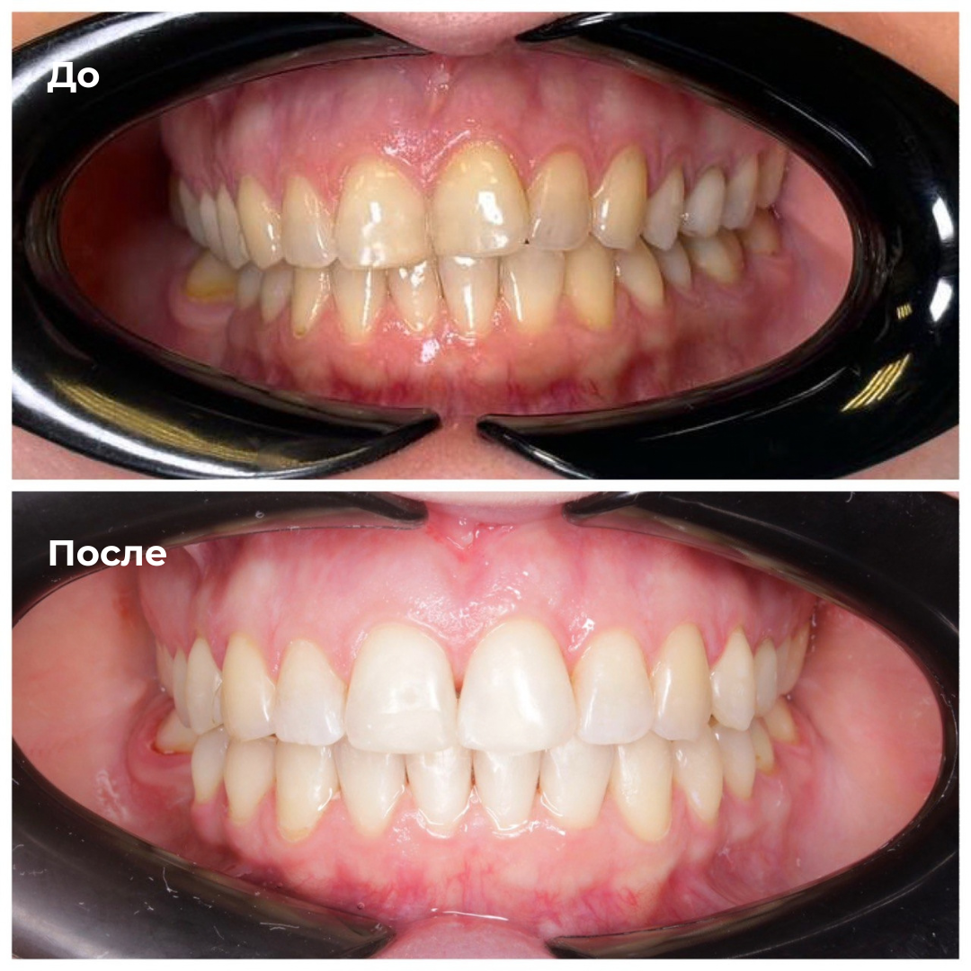
Результаты лечения на брекетах в клинике «32 Карата»
Реальные клинические случаи наших пациентов.
Запишитесь на консультацию — подберём оптимальный план лечения под ваш случай.
Вашим лечением будет заниматься врач-ортодонт
Принимает детей и взрослых с проблемами прикуса любой сложности
Шамсутдинова Алия Ильгизовна
Врач-стоматолог, ортодонт
Стаж работы - 5 лет
Исправляет прикус и выравнивает зубы у детей, подростков и взрослых.
✔ Более 50 успешно завершённых случаев лечения прикуса
✔ Работает со сложными случаями скученности и узкой челюсти у детей
✔ Подбирает лечение под конкретный прикус и возраст
Что входит в лечение:
✔ Диагностика и составление плана лечения
✔ Лечение на брекетах и элайнерах
✔ Работа с детьми: расширение челюсти и коррекция роста
✔ Контроль результата после лечения
Образование:
Башкирский государственный медицинский университет (БГМУ)
Ординатура по специальности «Ортодонтия»
Повышение квалификации:
✔ «Ортодонтия для взрослых: междисциплинарный подход» - А.Е. Маркин
✔ «Элайнеры и минивинты» - Илюк Р.Р.
✔ «Элайнеры от А до Я» - Eurokappa Academy и др.
Стаж работы - 5 лет
Исправляет прикус и выравнивает зубы у детей, подростков и взрослых.
✔ Более 50 успешно завершённых случаев лечения прикуса
✔ Работает со сложными случаями скученности и узкой челюсти у детей
✔ Подбирает лечение под конкретный прикус и возраст
Что входит в лечение:
✔ Диагностика и составление плана лечения
✔ Лечение на брекетах и элайнерах
✔ Работа с детьми: расширение челюсти и коррекция роста
✔ Контроль результата после лечения
Образование:
Башкирский государственный медицинский университет (БГМУ)
Ординатура по специальности «Ортодонтия»
Повышение квалификации:
✔ «Ортодонтия для взрослых: междисциплинарный подход» - А.Е. Маркин
✔ «Элайнеры и минивинты» - Илюк Р.Р.
✔ «Элайнеры от А до Я» - Eurokappa Academy и др.
Получите персональный план лечения прикуса
На консультации вы узнаете:
- какой у вас прикус
- сколько займет лечение
- какой вариант подойдет именно вам
ШАМСУТДИНОВА АЛИЯ ИЛЬГИЗОВНА
ортодонт, более 50 пациентов с исправленным прикусом
Перезвоним в течении 10 мин.
Почему нам доверят лечение прикуса
Работаем с прикусом любой сложности у детей и взрослых
Частые вопросы о лечении прикуса
Можно ли исправить прикус во взрослом возрасте?
Сколько длится лечение?
Сколько стоит лечение?
Нужно ли часто ходить к врачу?
Есть ли брекеты, которые не заметны на зубах?
Можно ли в рассрочку?
Нужно ли удалять зубы мудрости?
Почему самолигирующие лучше и дороже?
Что будет после снятия брекетов?
Получите персональный план лечения
Врач разберёт ваш случай, подберёт лечение и назовёт точную стоимость
Перезвоним в течении 10 мин.
Шамсутдинова Алия
Ортодонт, стаж 5 лет
✔ Более 50 пациентов уже прошли лечение
✔ Работает с детьми и взрослыми
✔ Подбираем лечение под каждый случай
✔ Сразу называем сроки и стоимость
Адрес и контакты
Стоматология 32 КАРАТА
г. Уфа, ул. Коммунистическая, 16
тел. +7 (969) 777-09-23
График работы:
Пн-Пт, с 9:00 до 21:00
Сб., с 9:00 до 15:00
Воскр., выходной
Пн-Пт, с 9:00 до 21:00
Сб., с 9:00 до 15:00
Воскр., выходной